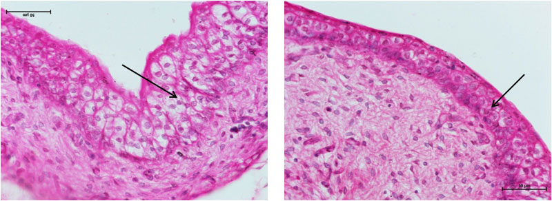
Transitional Epithelium: Also called urothelium All cells are anchored to basement membrane by long thick cytoplasmic processes.
Occurrence: Urinary organs