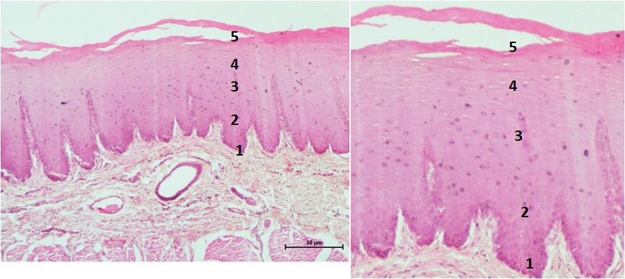
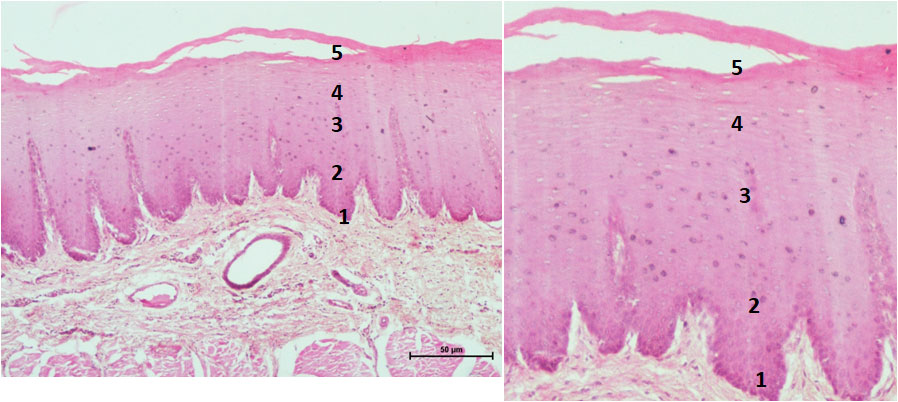
Stratified squamous: keratinized or non keratinized
1. Stratum basale
2. Stratum spinosum
3. Stratum granulosum
4. Stratum lucidum
5. Stratum corneum
Occurrence:
Cornified: skin, buccal cavity, anal region, ruminant forestomach
Non cornified: vestibular region of respiratory system, esophagus of dog, Cornea of eye, conjuctiva