Smooth Muscles
Flip
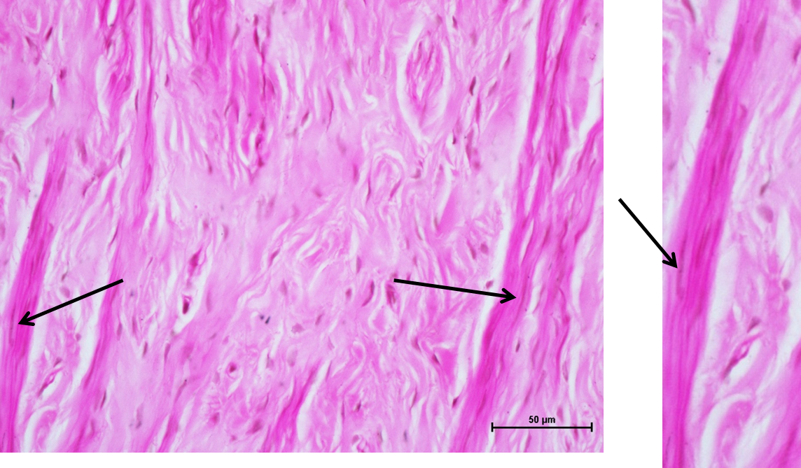
Smooth muscles:
Elongated, spindle-shaped, with tapering ends, nucleus in the centre
home
About Gadvasu
Developers
About App