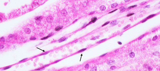
Blood Vessel
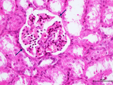
Bowman’s Capsule in Kidney
SIMPLE SQUAMOUS: single layer of cells. Cytoplasm is barely seen with the light microscope, and the nucleus appears as a prominent bulge at the free surface.
EXAMPLES: Lining of blood vessels: endothelium, Lining of body cavities: mesothelium, Bowman’s capsule of the kidney (parietal layer)