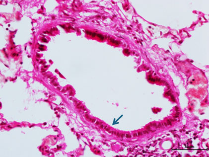
Bronchiole
Oviduct
Simple columnar: cells are taller than are wide nucleus elongated and generally displaced towards the basal membrane.
Function: secretion and absorption
Occurrence: Glandular stomach, Small and large intestine, Uterine tube, uterus.