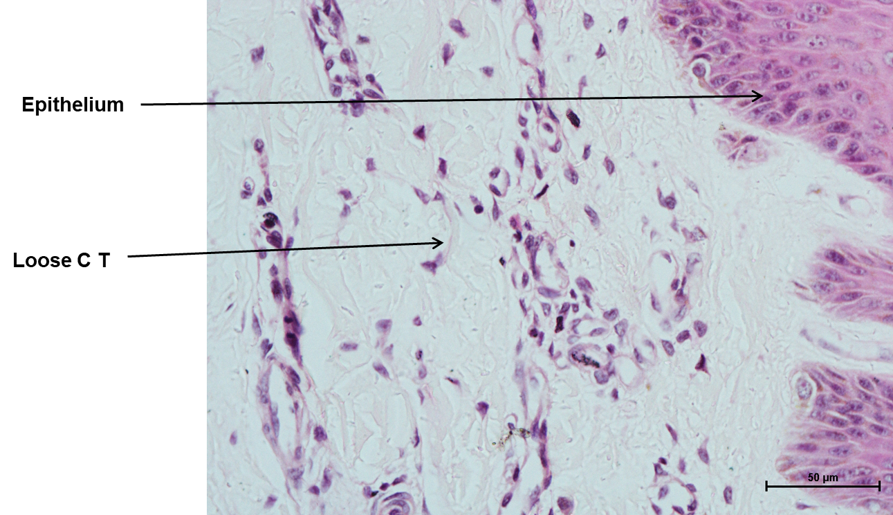
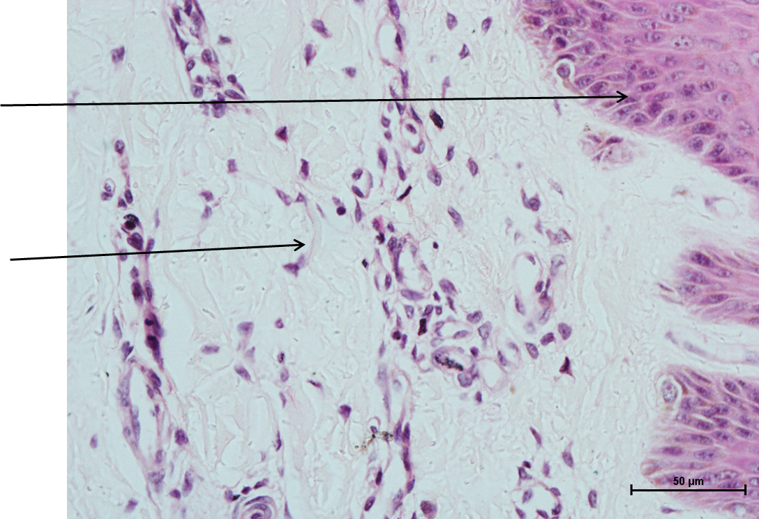
Loose Connective Tissue: loose, irregularly arranged, or areolar. It is the most widely distributed type of connective tissue in adult animals.
- It is present beneath the epithelium, around blood vessels and nerves, and between muscle bundles and layers of smooth musculature of hollow organs.
- Cells are relatively more abundant than fibers.