Dense Connective tissue: Collagen fibres predominate in the tissue.
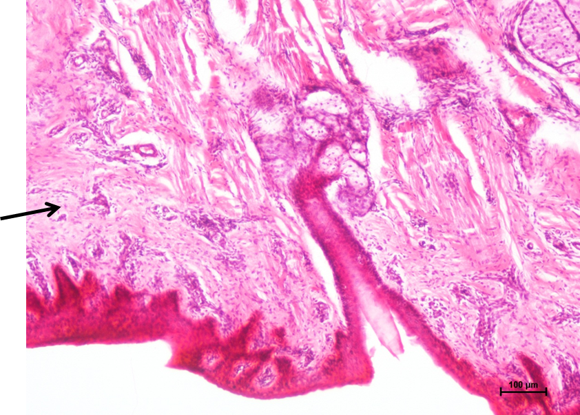
Cornified: skin, buccal cavity, anal region, ruminant forestomach
Dense Regular C.T: fibres are arranged in same plane. It occurs as collagenous in tendons or as elastic in ligament
Tendon: It consists of parallel bundles of collagen fibres which are surrounded by fibrocytes.