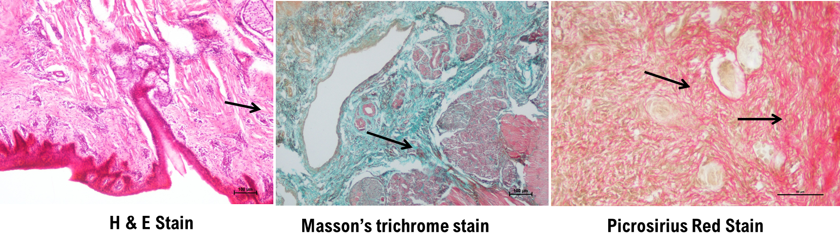
Collagen fibres: collagen is the most widespread and most abundant structural protein
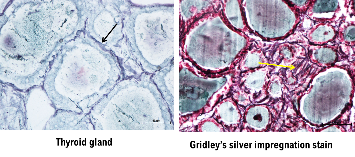
Reticular fibres: these can be stained by certain silver impregnation stain and PAS.
Elastic fibers: These fibers are present in organs those requires elasticity in addition to tensile strength. They can be stretched to 2 ½ times then original length. They can be seen in external ear, vocal cords, trachea, lungs, ligamentum nuchae, skin and arteries.