Cartilage: - it is composed of cells, chondrocytes, fibers, and a gel-like ground substance. Cartilage is an avascular, aneural, and alymphatic tissue.
There are three types of cartilages:-Hyaline, Elastic and Fibro cartilages
Cell types of cartilage
1. Chondroblasts: oval-shaped with a spherical nucleus and prominent Golgi and rER.
2. Chondrocytes: The chondroblasts, when they get trapped in a lacuna, are called chondrocytes. They are less active. They vary in shape from elongated to spherical. They have a spherical nucleus, a Golgi apparatus, and rER. Glycogen and lipid droplets can accumulate in the older cells.
3. Chondroclasts: are multinucleated giant cells resulting from fusion of macrophages and are cartilage-eating cells.
Hyliane cartilage:
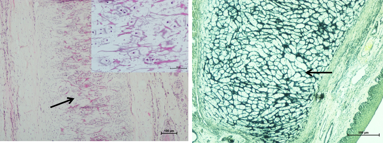
Elastic Cartilage: It is found in the parts where elasticity, along with rigidity, is required. E.g., external ear, epiglottis, external auditory canal, corniculate and cuneiform cartilages of the larynx.
This cartilage contains a dense network of elastic fibres along with other constituents of cartilage
Fibrocartilage occurs least frequently.