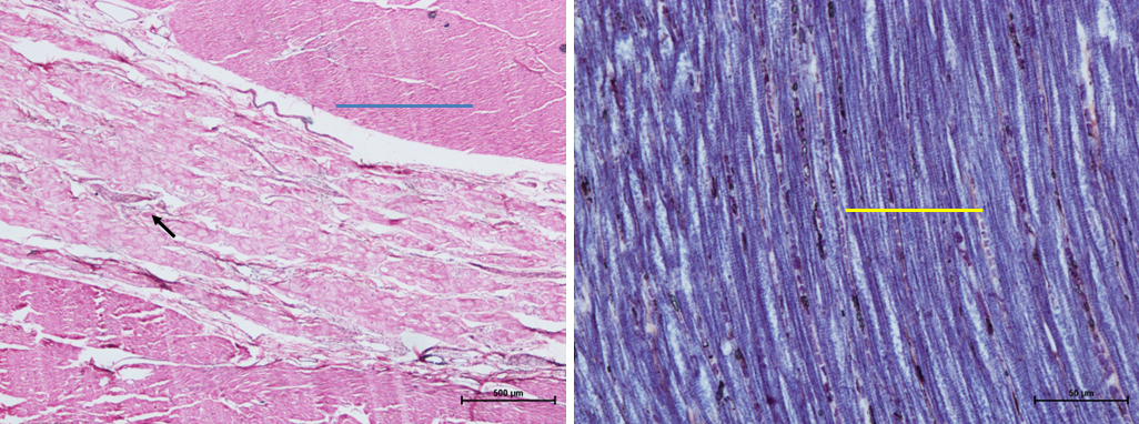
Cardiac muscles:
The single nucleus of the myocytes is located in the centre of the cell and cytoplasm is acidophilic. Cardiac fibres are highly branched.