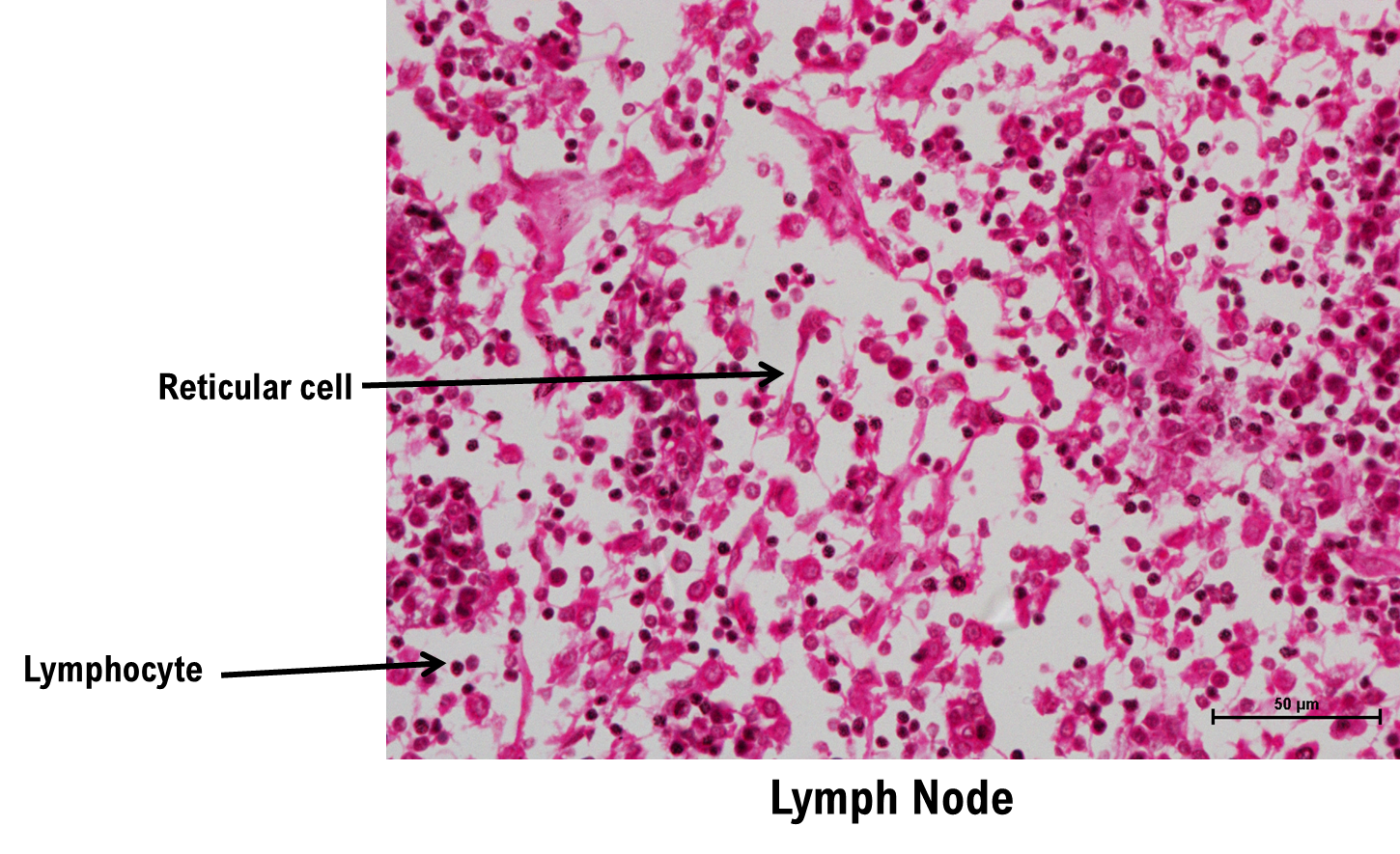
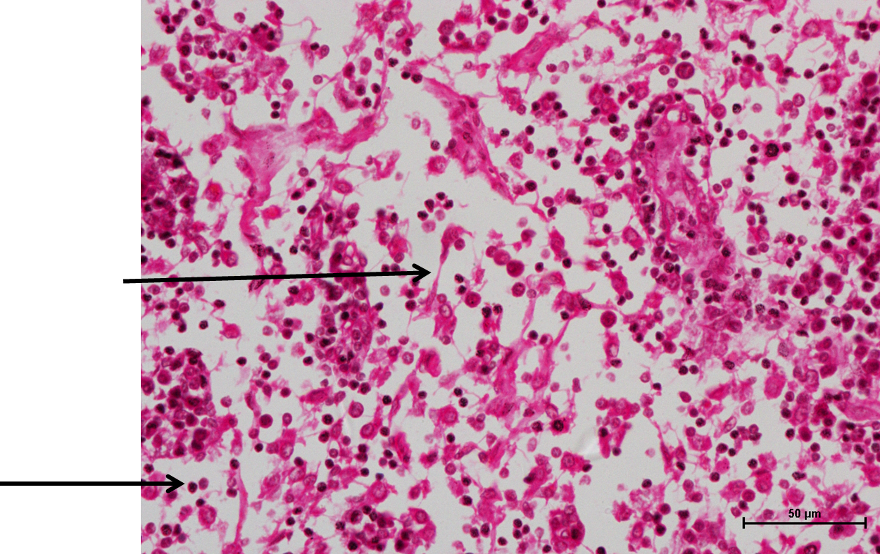
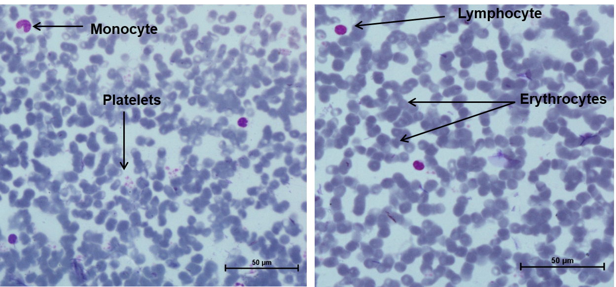
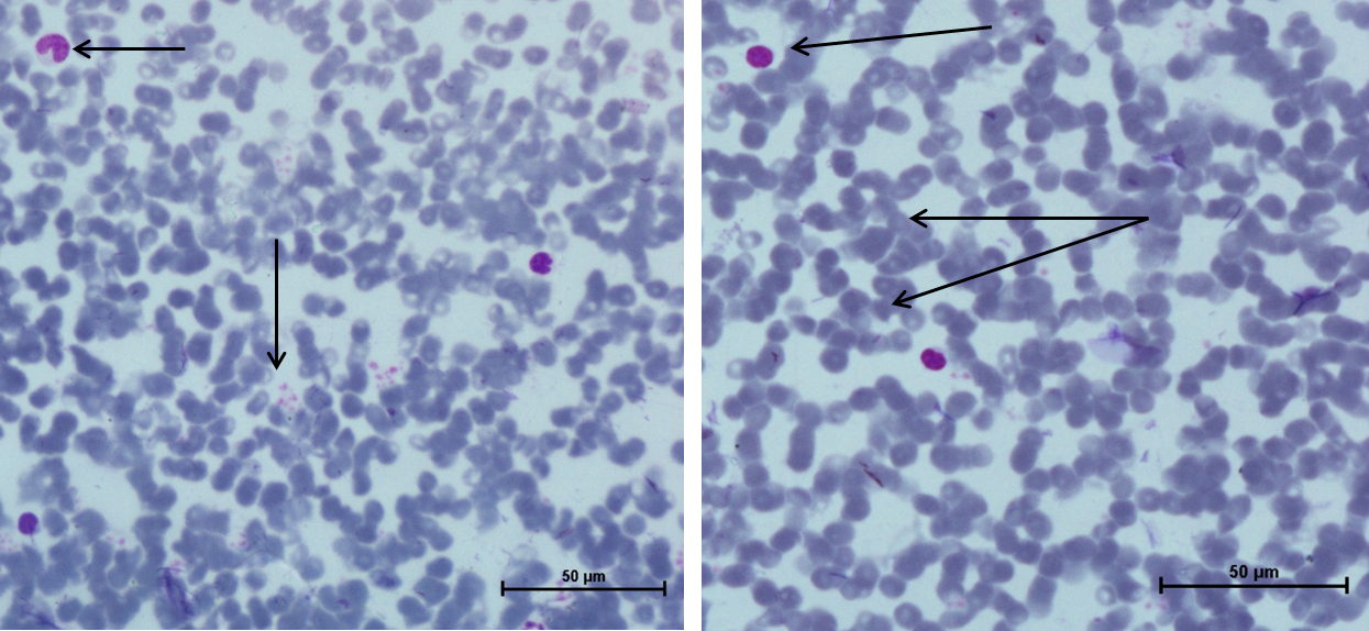
Blood: It is a specialized circulating tissue composed of cells suspended in a fluid.
Blood cells are of three types
- Erythrocytes/RBC
- Leucocytes/WBC
- Leucocytes Five different types of leucocytes have been classified into two main groups
- Agranulocytes: Lymphocytes and monocytes
- Granulocytes: Neutrophil, eosinophil, basophil
- Thrombocytes/ platelets.