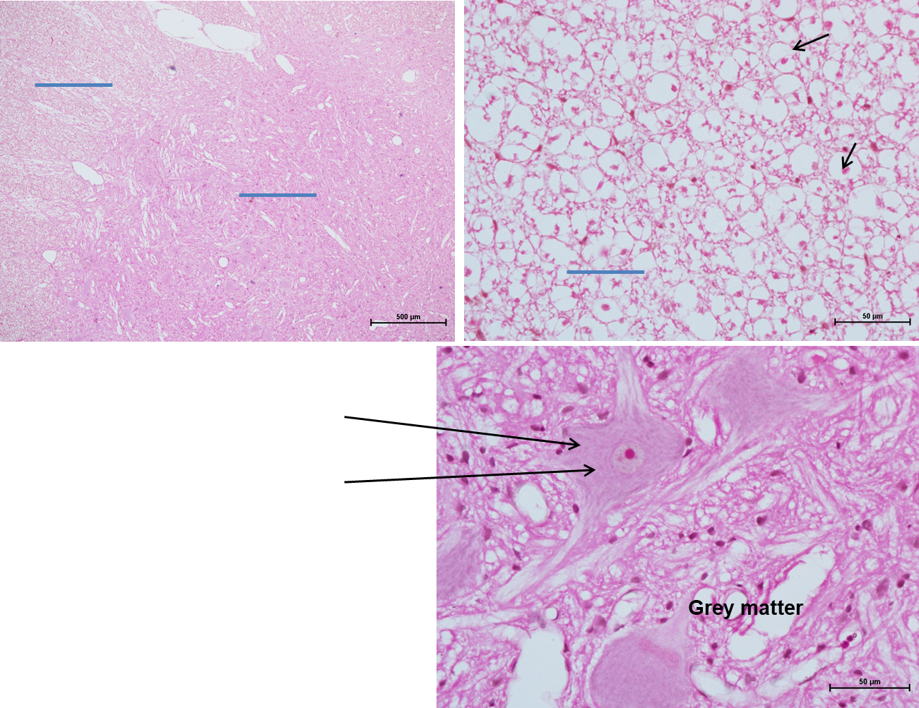
Spinal cord
A transverse section shows a central canal which is surrounded by H-shaped profile of gray matter surrounded by white matter.