Neuron
NEURON:Structural and functional unit of the nervous system. Diverse in size and shape. Sense and respond to stimuli and initiate movements
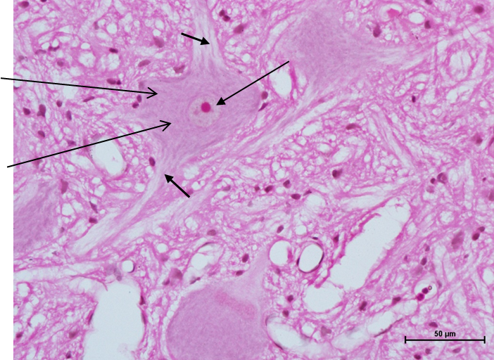
Cell body (perikaryon/soma): biggest portion of the neuron containing Nucleus(Large, round, euchromatic, distinct nucleolus) Nissl bodies(Stacks of rough Endoplasmic Reticulum (rER), observed as basophilic spots in the cytoplasm, the axon hillock (Triangular, Pale-staining area on the cell body), Dendrites (Branched projections from the cell body) and Axon: Single, often very long cellular projection from cell body.
CLASSIFICATION:
Multipolar neuron:Large cell body, many dendrites, a single axon.
Bipolar neuron: Only two cellular processes from a fusiform cell body: One dendrite and one axon.
Unipolar (pseudounipolar neuron): A spherical cell body that has a single cellular process that
immediately branches into two long processes, one traveling to the CNS, the other to the
periphery.