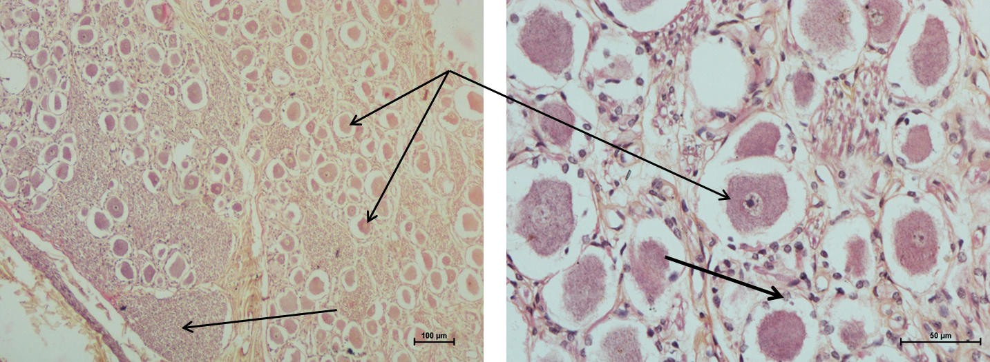
Ganglia
GANGLIA: Accumulation of neuron cell bodies within the nerve fascicle outside the CNS. Each cell body is encapsulated by satellite cells.