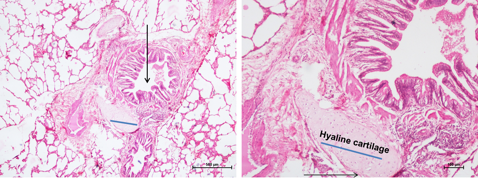
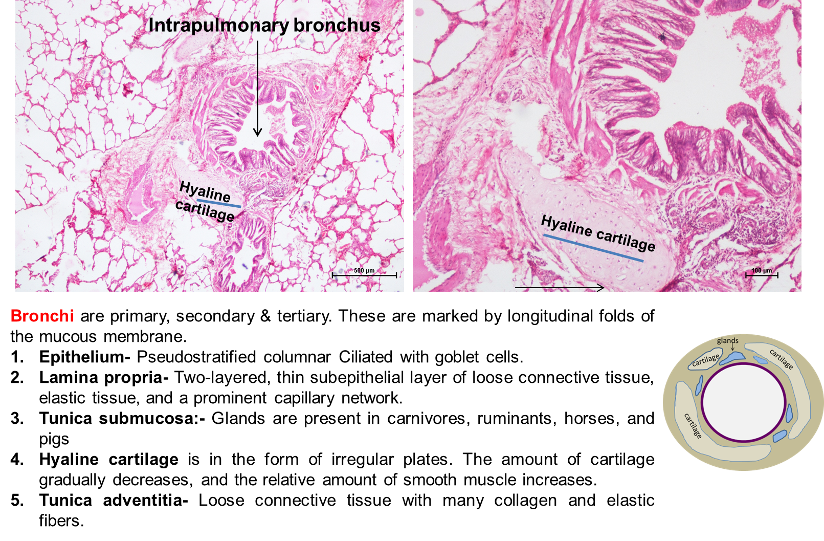
Bronchus
Flip
home
About Gadvasu
Developers
About App